“条条大路通罗马,然而有的人就出生在罗马”,金坷垃很不幸,他出生在一颗垃圾星,连罗马都没听说过。
金坷垃是个孤儿,在他刚出生时就被父母丢到了垃圾桶里,然后被太空垃圾车运到了1314号垃圾星,像这样的垃圾星宇宙里面还有很多,比如520号、999号,1314好只是其中一颗不起眼的垃圾星,金坷垃也很幸运,在他刚被扔到垃圾星上的时候,一个住在附近的垃圾佬把他抢回了家,打算把他养大后给自己养老送终,老头名叫圣地哥亚,靠着每天在美洲垃圾场捡垃圾维持生活,垃圾场每天都有各大星球运过来的垃圾,其中最值钱的是电子垃圾,圣地哥亚是个聪明人,他知道知识的重要性,早些年间圣地哥亚靠捡些垃圾自己研究修改了一套报废的外骨骼,让他人生走上了巅峰,过了一段时间,圣地哥亚拿出全部身家,开了一个电子垃圾回收站,收垃圾的同时研究修补这些垃圾,经过几十年的摸索,圣地哥亚自己也能维修一些小东西,这比捡垃圾赚钱多了,有时候,弄坏的垃圾还能卖了买点地瓜烧过过瘾,运气好的时候,修好的东西还能以几倍甚至几十倍的价格卖出去。不过,随着年纪的增大,他的精力也不如从前了,垃圾场的每天都有很多新面孔出现,也有很多老面孔消失,年近六旬的他很怕自己哪天自己就死在垃圾场的那个角落里,不过还好,年轻的时候靠着蛮力抢了些值钱的垃圾,也存了些老本,养个小孩还是可以,毕竟,只要一些吃的就够了,就这样,金坷垃在圣地哥亚的的照顾下,一天天成长。
金坷垃运气很好,在他10岁的时候,老头子炸锅卖铁把他送进了垃圾场附近的一个小镇,镇上有一所学校,只有一位年迈的老教师,据说,这位老教师曾经也是城市里的大人物,只不过得罪了人,被发配到了这里,几十年下来,也在这里站稳了脚跟。
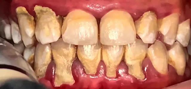
然而不幸的是,金坷垃在去这个学校的第一天就遭到了大家的抵制,不为啥,就是因为他那一口10年来从未刷洗过的牙齿,一开口说话,大家得屏住呼吸,就生长在垃圾堆的人,连活着都很累了,谁还会在意这些,但圣地哥亚不一样,他想把金坷垃培养成上流人物,这点瑕疵不能留,于是托人找关系,终于找到了我这里,我也是个普通人,听完后,我立即表示,这孩子交给我了,然后经过七七四十九天的打磨,终于去掉了金坷垃积累了10年的老牙垢,看着金坷垃靓白的牙齿,圣地哥亚欣慰的笑了,这下,金坷垃应该不会再排挤了吧!
创业项目群,学习操作 18个小项目,添加 微信:790838556 备注:小项目!
如若转载,请注明出处:https://www.zoodoho.com/26704.html
